Digital X-Ray Technology

Why Do We Need Dental X-Rays?
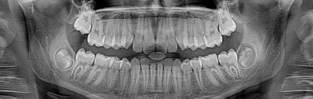
Dental X-rays enable dentists to see decay inside teeth that would not be visible to the naked eye. This allows us to act earlier against cavities, which is much better for the teeth. However, X-rays do expose patients to radiation, which is why you always wear a lead apron when the images are being taken. Thanks to advances in technology, there is now a safer way to take these images.
How David Blackman DDS Reduces Radiation Exposure from Patient X-Rays
Film X-rays have been used in dentistry for decades. In the past few years, many forward-thinking dentists like Dr. Blackman have invested in digital X-ray technology. Film X-rays cost a bit less than digital X-rays but the increased exposure to film X-rays is more harmful to a patient’s overall health. Our digital X-ray emits as much as 85 percent less radiation than traditional X-ray technology.
Why David Blackman DDS Invested in Digital X-Ray Technology
Digital X-rays are one of the most important new advances in our office. We are not only able to reduce your exposure to radiation but also increase the diagnostic proficiency. In addition to increased diagnostics, we reduce the amount of harmful chemicals and other waste materials associated with traditional X-ray technology. The reduction in waste was a big consideration when deciding to invest in digital technology. We pride ourselves in being environmentally responsible.
At your next dental visit, please ask us any additional questions regarding our new digital X-ray technology or give us a call at (630) 260-1700. Our first concern is your comfort and longterm overall health.

